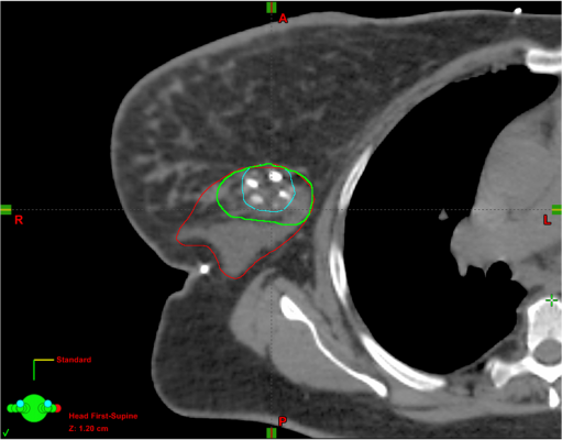
Does Ct Scan Show Breast Cancer : Radiological approach for malignant breast lesions - This can allow for examination of neighboring organs and structures like lymph nodes to check for any signs of disease.
Dapatkan link
Facebook
X
Pinterest
Email
Aplikasi Lainnya
Does Ct Scan Show Breast Cancer : Radiological approach for malignant breast lesions - This can allow for examination of neighboring organs and structures like lymph nodes to check for any signs of disease.. If your doctor suspects that you have cancer near your abdomen, they may recommend an abdomen ct scan. With cancer cells, they appear as bright spots due to its higher metabolic rate compared to normal cells. Locally advanced breast cancer is stage iii. Right now, ct scans are not used routinely to evaluate the breast. Early breast cancer is stage i or ii.
How does breast cancer show up on a pet scan? If your doctor suspects that you have cancer near your abdomen, they may recommend an abdomen ct scan. Staging tells the doctor how big a cancer is and whether it has spread. It is common for patients to receive a diagnosis for cancer of unknown primary. Some cancers, such as prostate cancer, uterine cancer, and certain liver cancers, are pretty much invisible or very hard to detect on a ct scan.
Radiology by robots: this is what breast cancer looks like ... from www.ianmccafferty.com Once doctors know where to look, further evaluation can be done with other techniques. Should you get a ct scan to detect possible tumors? The stage shows how far the cancer has spread. Ct scan when a breast cancer has been diagnosed, some people have a ct scan of their chest and tummy (abdomen) to stage the breast cancer. If you have a large breast cancer, your doctor may order a ct scan to assess whether or not the cancer has moved into the chest wall. They may also use it to learn more about the cancer after they find it. With cancer cells, they appear as bright spots due to its higher metabolic rate compared to normal cells. Ct scans can detect bone and joint problems, like complex bone fractures and tumors.
Key information about the cancer.
The test has only a limited ability to detect small tumors. Metastases to the bone and brain also show up better on an mri. Doctors often use ct scans to help them guide a needle to remove a small piece of tissue. Ct scans can show a tumor's shape, size, and location. How does breast cancer show up on a pet scan? Right now, ct scans are not used routinely to evaluate the breast. Doctors use a computed tomography (ct) scan, also called a cat scan, to find cancer. The ct scan might show signs of cancer, but that cancer might not be active for example, it could be scar tissue left over from cancer killed off by your treatment Early breast cancer is stage i or ii. It can damage the dna in your cells and raise the chance that they'll turn cancerous. During the procedure, the patient is intravenously injected with a tracer containing sugar and radioactive material in small amounts. In some instances, cancers may not show on the scan. The pain starts in the rib area (where the breast ends) but goes.
To help you prepare, here's a look at what to expect. Knowing the stage helps your doctor decide which treatment you need. Staging tells the doctor how big a cancer is and whether it has spread. If you have a large breast cancer, your doctor may order a ct scan to assess whether or not the cancer has moved into the chest wall. The answer is yes, and american health imaging can help.
PET/CT scan of a patient with breast cancer. A trace ... from www.researchgate.net Early breast cancer is stage i or ii. During the procedure, the patient is intravenously injected with a tracer containing sugar and radioactive material in small amounts. Pet/ct, which is a combination of positron emission tomography (pet) with. However, multidetector computed tomography (ct) often provides the first images of the breast when scanning is performed for pulmonary or cardiac disease. Ct scan when a breast cancer has been diagnosed, some people have a ct scan of their chest and tummy (abdomen) to stage the breast cancer. Knowing the stage helps your doctor decide which treatment you need. Then, this evening, after talking to mum about the scan appointment, i looked up great cancer and read about inflammatory breast cancer and that sure does fit the bill, perfectly. This test is most often used to look at the chest and/or belly (abdomen) to see if breast cancer has spread to other organs.
Locally advanced breast cancer is stage iii.
It is only with a pet/ct scan that you will know for sure. They may also use it to learn more about the cancer after they find it. However, multidetector computed tomography (ct) often provides the first images of the breast when scanning is performed for pulmonary or cardiac disease. Ct scan when a breast cancer has been diagnosed, some people have a ct scan of their chest and tummy (abdomen) to stage the breast cancer. Doctors often use ct scans to help them guide a needle to remove a small piece of tissue. A pet scan will help detect cancer and show how far it has spread. Metastases to the bone and brain also show up better on an mri. The pain starts in the rib area (where the breast ends) but goes. Key information about the cancer. This helps determine whether or not the cancer can be removed with mastectomy. This can allow for examination of neighboring organs and structures like lymph nodes to check for any signs of disease. Pet/ct, which is a combination of positron emission tomography (pet) with. Some cancers, such as prostate cancer, uterine cancer, and certain liver cancers, are pretty much invisible or very hard to detect on a ct scan.
It can damage the dna in your cells and raise the chance that they'll turn cancerous. However, multidetector computed tomography (ct) often provides the first images of the breast when scanning is performed for pulmonary or cardiac disease. How does breast cancer show up on a pet scan? Right now, ct scans are not used routinely to evaluate the breast. Ct scan when a breast cancer has been diagnosed, some people have a ct scan of their chest and tummy (abdomen) to stage the breast cancer.
Breast cancer scans possible with a 25 times reduced ... from www.esrf.eu Early breast cancer is stage i or ii. This substance is often called a tracer, because it helps reveal cancer in the body. Right now, ct scans are not used routinely to evaluate the breast. Then, this evening, after talking to mum about the scan appointment, i looked up great cancer and read about inflammatory breast cancer and that sure does fit the bill, perfectly. The area covered in the scanning can be determined. One example is a combined pet and ct scan (known as pet/ct), available in some centers. Should you get a ct scan to detect possible tumors? To help you prepare, here's a look at what to expect.
Once doctors know where to look, further evaluation can be done with other techniques.
Key information about the cancer. For the past few months i've been having left sided pain in the area just below my (non cancer side) breast. This helps determine whether or not the cancer can be removed with mastectomy. The grade indicates how fast the cancer is likely to grow. Pet scans are not used to screen women for breast cancer. Ct scan when a breast cancer has been diagnosed, some people have a ct scan of their chest and tummy (abdomen) to stage the breast cancer. Bone scans, positron emission tomography (pet), and computed tomography (ct) all continue to be employed alone or in combination for the detection of breast cancers suspected to have spread. Staging tells the doctor how big a cancer is and whether it has spread. Ct scans can detect bone and joint problems, like complex bone fractures and tumors. This test is most often used to look at the chest and/or belly (abdomen) to see if breast cancer has spread to other organs. In some cases, physicians use all three imaging techniques. This can allow for examination of neighboring organs and structures like lymph nodes to check for any signs of disease. The reality is that you cannot rely on a ct scan (or ultrasound, mri, or blood test) to tell you if you have cancer.
How To Make A Business Card In Illustrator Cs6 / How to make Business card in Illustrator cc - YouTube / In this video you watch how to make a best business card design in adobe illustrator cs5 cs6.i hope this video tutorial give you every information how to create a business card adobe illustrator cs5 cs6.need more tips and tricks visit my channel lik. . How to make a specific text in illustrator cs6 italicize? Our how to create business card template in illustrator library includes layouts for thank you cards holiday cards christmas cards valentines cards and a stylish professional business card is vital for making a good first impression. How to print business cards in adobe illustrator cc, cs6, cs5: Today we will be learning how to make a business card in illustrator, so follow along and find out how to create a print ready. Learn how to design a minimal business card in adobe illustrator in 5 minute ! Giving a good first impression is key for any business. Follo...
Dinamai asy syams (matahari) diambil dari perkataan asy syams yang terdapat pada ayat permulaan surat ini. Dan kaumnya dalam surat ini. Surat ini dinamai surat huud karena ada hubungan dengan terdapatnya kisah nabi huud a.s. ۞ وَمَا مِنْ دَابَّةٍ فِي الْأَرْضِ إِلَّا عَلَى اللَّهِ رِزْقُهَا وَيَعْلَمُ مُسْتَقَرَّهَا وَمُسْتَوْدَعَهَا ۚ كُلٌّ فِي كِتَابٍ مُبِينٍ. Surah ini diturunkan di makkah sehingga tergolong surah makiyah dan terdiri dari tujuh ayat. Quran: 11. Surat Hud (Prophet Hud): Arabic and English from i.ytimg.com Dan kaumnya dalam surat ini. ۞ وَمَا مِنْ دَابَّةٍ فِي الْأَرْضِ إِلَّا عَلَى اللَّهِ رِزْقُهَا وَيَعْلَمُ مُسْتَقَرَّهَا وَمُسْتَوْدَعَهَا ۚ كُلٌّ فِي كِتَابٍ مُبِينٍ. Surat ini dinamai surat huud karena ada hubungan dengan terdapatnya kisah nabi huud a.s. Surah ini diturunkan di makkah sehingga tergolong surah makiyah...
How The Moon Phases Affect Cancerians : How Does the Moon Affect the Ocean Tides? - Bright Hub / A water sign moon with many moods this is a sensitive water sign moon with many moods. . The moon is cancer's ruling planet, emphasizing the sign's tidal moods and changing (lunar) face. The velvety darkness of the new moon, the vivid illumination of the full moon, and all the phases in between containing divine intuition. Tendency to reflect on the past with nostalgia. Please keep in mind that if you. You're a warrior indeed, sag, but you need people to come home to once the fight settles. They found that blood pressure dropped by around 5 mm hg during. (which is why it is the. On june 20, 2020, there will be a new moon in cancer. Subtract about a century though, and you've got my technical, legal age. You can build a relationship with the full moon and keep track of how it affects you personally. ...
Komentar
Posting Komentar